成功率の高い「根管治療」
- 「CT」や「高倍率ルーペ」による可視化治療
- 感染部位を「ニッケルチタンファイル」で除去
- 「CO2レーザー」で殺菌
- 再発を防ぐ「MTAセメント」


根管治療の成功率を上げる取り組み

成功率は「50%前後」。
これは日本における「根管治療の成功率」で、欧米の成功率に比べると、かなり低い数値と言わざるを得ません。ではなぜ、わが国での「根管治療の成功率」はこんなに低いのでしょう? 理由はいろいろありますが、日本の歯科医院で使用している「機器や道具」、そして「材料」の違いが大きな理由として挙げられます。
狭くて暗いうえ、複雑に分岐した根管内をきれいに消毒する根管治療は、非常に繊細な治療です。
尾山台駅前スマイル歯科では「50%前後」といわれる成功率を向上させるべく、さまざまな取り組みを行っています。


主訴: 噛むと痛い、奥歯が違和感ある
保険治療では発見することが難しい4つ目の神経を
歯を大きく削らずに見つけられます。


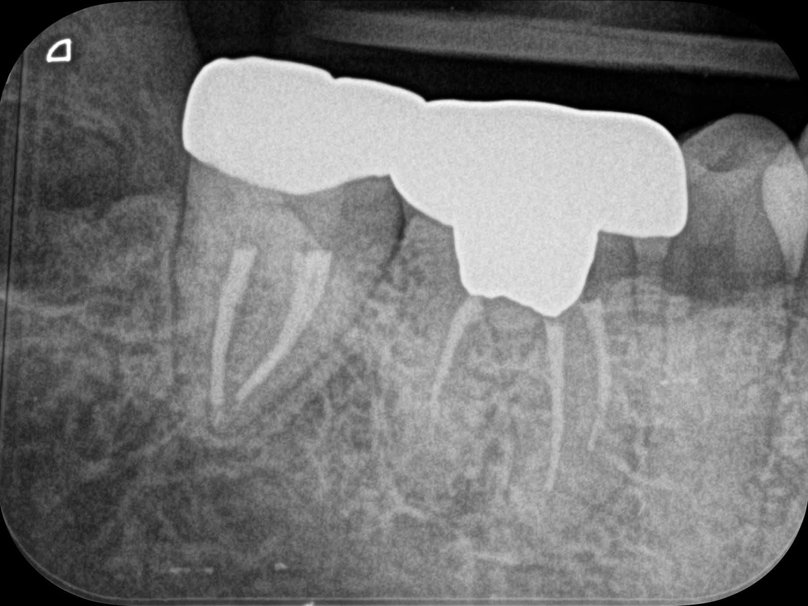
主訴: 右下がしみて痛い。
右下7根の根幹治療と親知らずの抜歯


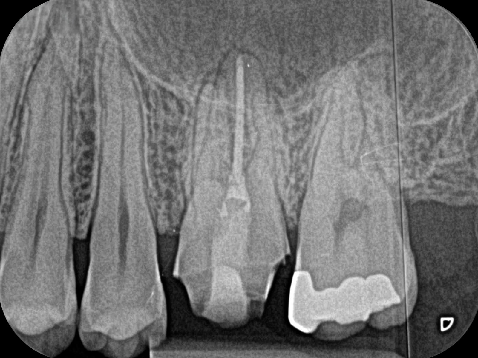
主訴: 噛むと痛い、左で食べれない。他の病院で神経が見つからない。根の先に病気がある。
通常だと手立てがなく、抜歯しかない歯も外科(根尖切除術)で治すことができます。

黒い部分が「根管」です。狭く、複雑な形状をしています。
細かい神経や血管が詰まった根管内をきれいにするのが「根管治療」ですが、その繊細さを極める治療を、いまだに多くの歯科医院が肉眼で行っています。当医院では「高倍率ルーペ」や「CT」といった精密機器を用いて、肉眼では捉えきれない箇所までを見える(可視化)状態にしてから治療を行います。
高倍率ルーペ

歯科用の拡大鏡で、肉眼の何倍も視野を拡大できます。根管治療は「細菌感染した箇所の取り残し」があると失敗する可能性が高くなってしまいますが、「高倍率ルーペ」を使えばそれを防止できます。
下の図は、肉眼と「高倍率ルーペ」で見た1000円札を比べた画像です。「高倍率ルーペ」を使うことで、精密な治療ができることがよくわかります。


ほかにも「高倍率ルーペ」には、次のようなメリットがあります。

「CT」とは、X線を使って歯や骨の様子を撮影できる装置です。お口の周囲を回転しながら立体的に撮影するので、2次元で撮影するレントゲンと比べて、鮮明な画像が得られます。
画像が鮮明になることで、治療の精度も大きく変わります。次の写真は、同じ部位を「CT」(左)と「レントゲン」(右)で撮影した画像です。黒い影は問題が発生している箇所で、左の「CT画像」にはしっかり映っていますが、右の「レントゲン画像」にはありません。


レントゲンだけで撮影をしていたら、この問題は見落とされていたことでしょう。そのまま治療が行われなければ、炎症が悪化して、最終的に「抜歯」になっていたかもしれません。CTで撮影していれば、見落とされること無く、適切な治療が行えます。
このように、尾山台駅前スマイル歯科では「高倍率ルーペ」と「CT」の「可視化機器」を駆使し、難しい症例にもしっかり対応します。

根管治療では、虫歯に侵された神経を除去するために「ファイル」と呼ばれる器具を用います。日本国内の多くの歯科医院では「ステンレスファイル」が使われていますが、当医院では「ニッケルチタンファイル」を採用しています。その理由は、ニッケルチタン製は「高い柔軟性」があり、複雑に入り組んだ根管内をきれいに清掃するのに適しているからです。

根管治療の成功率を上げるには、根管内の洗浄力・消毒の徹底がポイントになります。当院では、歯科専用のレーザー治療機器を導入しています。「CO2レーザー」は強い殺菌力があり、根管内の細菌をすみずみまで除去できます。レーザーには「痛そう」「怖い」というイメージがあるかもしれませんが、レーザーは患部の表面にのみ作用するので痛みはほぼありません。
「CO2レーザー」には、おもに下記のような効果があります。

器具やレーザーで根管内をきれいにしても、そのままでは削りカスや汚れが残ってしまうことがあります。残された削りカスにも細菌が付着しているため、これらが残ったままでは再発の原因となります。
根管内を科学的に清掃するため、削りカスを溶かす「EDTA」と根管内を消毒する「次亜塩素酸ナトリウム」といった薬剤を使います。これらの薬剤で根管内を洗浄することで、患部を無菌状態にできるのです。

根管治療の最終工程では「根管充てん」という、きれいにした根管を密閉する処置を行います。一般的には「ガッタパーチャ」と呼ばれる、ゴムのような充てん剤を用いることが多いのですが、当院では「MTAセメント」を採用しています。「MTAセメント」は「密閉性」が高く細菌の侵入を許しません。また、「殺菌作用」と歯の「組織再生効果」が見込め、治療後の状態がよくなるためです。

根管内の処置後は「被せ物」をして治療終了となります。「被せ物」は、食べ物を噛む「歯」の役割をするだけでなく、患部をしっかり密閉する「歯のふた」の役割も担います。この「被せ物」も根管治療の成功率を大きく左右します。

保険適用の被せ物とは、一般的な虫歯治療で多く使われている「銀歯」です。銀歯は、経年劣化で歯との間にすき間ができます。ここから食べ物や細菌が入り込み、再発を引き起こすことがあります。

自費診療の被せ物は精度が高く、歯と被せ物の間にほとんどすき間がありません。そのため、細菌などの異物が入り込む余地がないのです。したがって、再発のリスクが抑えられます。
下の表は、根管治療の「被せものの精度」と「成功率」の違いをまとめたものです。
「根管治療」の精度 | 「被せもの」の精度 | 成功率 | |
|---|---|---|---|
パターン① | ◎ | 自費 | 91.4% |
パターン② | 〇 | 自費 | 67.6% |
パターン③ | ◎ | 保険適用 | 44.1% |
パターン④ | △ | 保険適用 | 18.1% |
「根管治療」と「被せもの」の両方とも精度が高い場合、成功率は非常に高く、91.4%にもなります。
しかし、両方とも「精度が低い」場合の成功率は18.1%と、その差は歴然です。
表のデータはアメリカの統計になりますが、根管治療においては、精度の高い被せ物が重要であることがおわかりいただけると思います。

日本国内の歯科医院で一般的に行われている「根管治療」は非常に再発しやすく、再発を繰り返すと抜歯となってしまいます。
かかりつけの歯科医院で「神経まで進行している虫歯だから神経を取る」といわれたら、再発を防ぐためにどのような治療を、どのような取り組みを行っているか確認することをお勧めします。
根管治療は、繰り返しできる治療ではありません。最初から「精度の高い治療」をすることが重要なのです。
歯の神経の治療でお悩みのことがあれば、お気軽にご相談ください。
当院では、患者さんが抱えていらっしゃるお口のお悩みや疑問・不安などにお応えする機会を設けております。どんなことでも構いませんので、私たちにお話ししていただけたらと思います。
ご興味がある方は下記からお問い合わせください。