金属の被せ物が原因で
金属アレルギーになってしまう人がいます。
このリスクを最小限に抑えてくれるのが
メタルフリーの歯科素材です。
金属を使わない詰め物で虫歯を治療したケース。
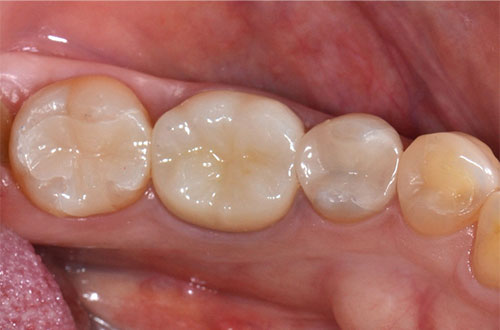
銀歯を外して虫歯を治療し、メタルフリーの被せ物を装着したケース。治療の跡も目立ちません。

金属の被せ物が原因で
金属アレルギーになってしまう人がいます。
このリスクを最小限に抑えてくれるのが
メタルフリーの歯科素材です。


金属を使わない詰め物で虫歯を治療したケース。


銀歯を外して虫歯を治療し、メタルフリーの被せ物を装着したケース。治療の跡も目立ちません。

尾山台駅前スマイル歯科の「金属アレルギー」治療


ネックレスやピアスなどの金属製品を身につけると、かゆくなったり、かぶれたりすることがあります。これを「金属アレルギー」といいますが、歯科治療が原因で症状が引き起こされるケースがあります。
歯科治療材として使われる金属(いわゆる銀歯)は、イオンとして唾液中に溶け出し、体内に取り込まれます。そこでたんぱく質と結合し、アレルゲンになるのです。
口内炎や口角炎ができやすい
できた口内炎が治りにくい
といった症状を感じたら、歯科治療が原因の金属アレルギーかもしれません。放っておくと、アトピー性皮膚炎や自己免疫疾患など、さまざまな症状につながる可能性もあります。
当院では、具体的な金属の影響を確認するためのテストも行なっています。
気になる方は、ぜひご来院いただき、検査を受けてみてください。
金属アレルギー治療の流れ
STEP①
検査

まずは皮膚のかぶれ、お口の中の状態などを確認します。
STEP②
診断

検査で得られた情報をもとに、医師が診断を行います。
STEP③
交換治療

診断の結果、体質に合わない金属が歯科治療に使われていた場合は、別の歯科材料に置き換えるための治療を行います。置き換える材料は、体質に合っているか事前にチェックします。
金属アレルギーに配慮した歯科素材
通常、歯科治療では、詰め物や被せ物、入れ歯などで金属が使用されますが、金属を避けた治療や金属アレルギーを考慮した材料も利用できます。
以下に詳しくご紹介します。
金属を利用しない歯科材料

「ジルコニア」はセラミックの中で最も美しく、丈夫な素材として知られています。陶器素材なので身体にやさしく、食いしばりや強い噛みしめにも対応できます。金属イオンの流出がない、安全性の高い素材です。

金属を一切使用していない、身体に対して非常に優しい素材です。ジルコニアセラミックよりもやや耐久性が劣りますが、天然歯のような明るい色調と自然な強度が特徴です。
身体への負担が少ない入れ歯/インプラント

一般的な保険の部分入れ歯では、通常、金属の固定具である「クラスプ」を使用しています。
「ノンクラスプデンチャー」ではアレルギーに配慮し、金属ではなく、歯茎に近いピンク色の樹脂で成型した固定具を使います。金属の固定具が目立たないというメリットもあります。

自費診療にはなりますが、金属アレルギーを発症しにくいチタンやコバルトクロムなどを使った入れ歯を作ることもできます。
保険治療で使用される素材よりも、安全性に優れています。

インプラント治療では、人口歯を固定する際に、金属のネジを体内に埋め込みます。
このネジは、金属アレルギーを引き起こしにくいチタンが採用されています。しかし、一部のインプラントの材料の中には、金属アレルギーを誘発する可能性のある素材が含まれることがあります。
ご心配な方は、治療前にどうぞお気軽にご相談ください。
当院では、患者さんが抱えていらっしゃるお口のお悩みや疑問・不安などにお応えする機会を設けております。どんなことでも構いませんので、私たちにお話ししていただけたらと思います。
ご興味がある方は下記からお問い合わせください。